Burnos higiena

Bent du kartus per metus, (arba kitu nurodytu intervalu) atliekama profesionali burnos higiena gali užkirsti kelią dantų ėduoniui. Nuvalant kietąsias ir minkštąsias dantų apnašas ne tik sumažinima naujo ėduonies atsiradimo rizika, bet ir dingsta nemalonus burnos kvapas, sumažinama periodonto ligų tikimybė.

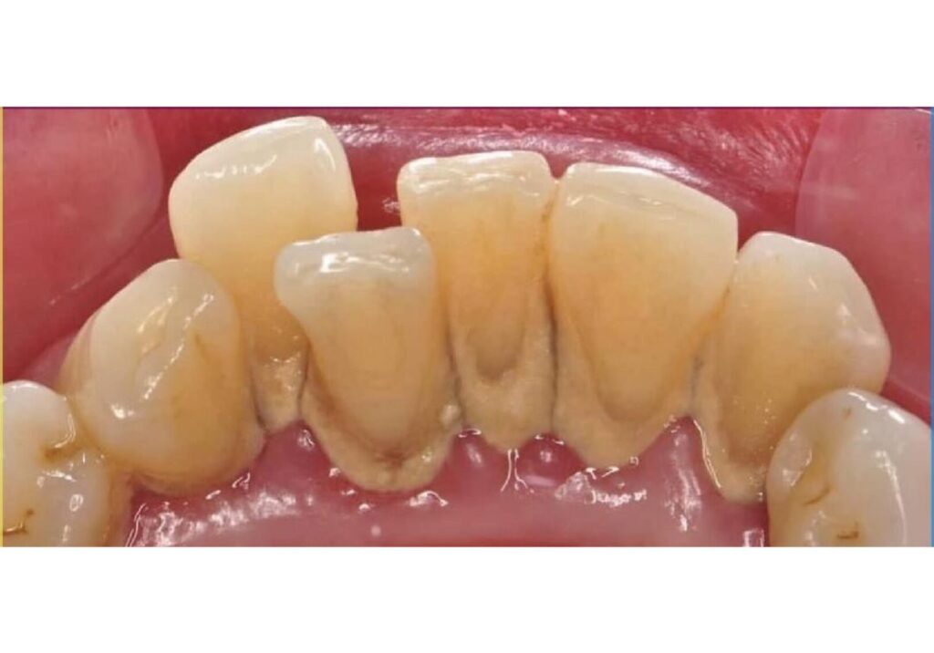
Prieš
Po

Gyd. Deimantė Jurgelevičiūtė

Profesionali burnos higiena

Kovo 11-osios 49, Kaunas
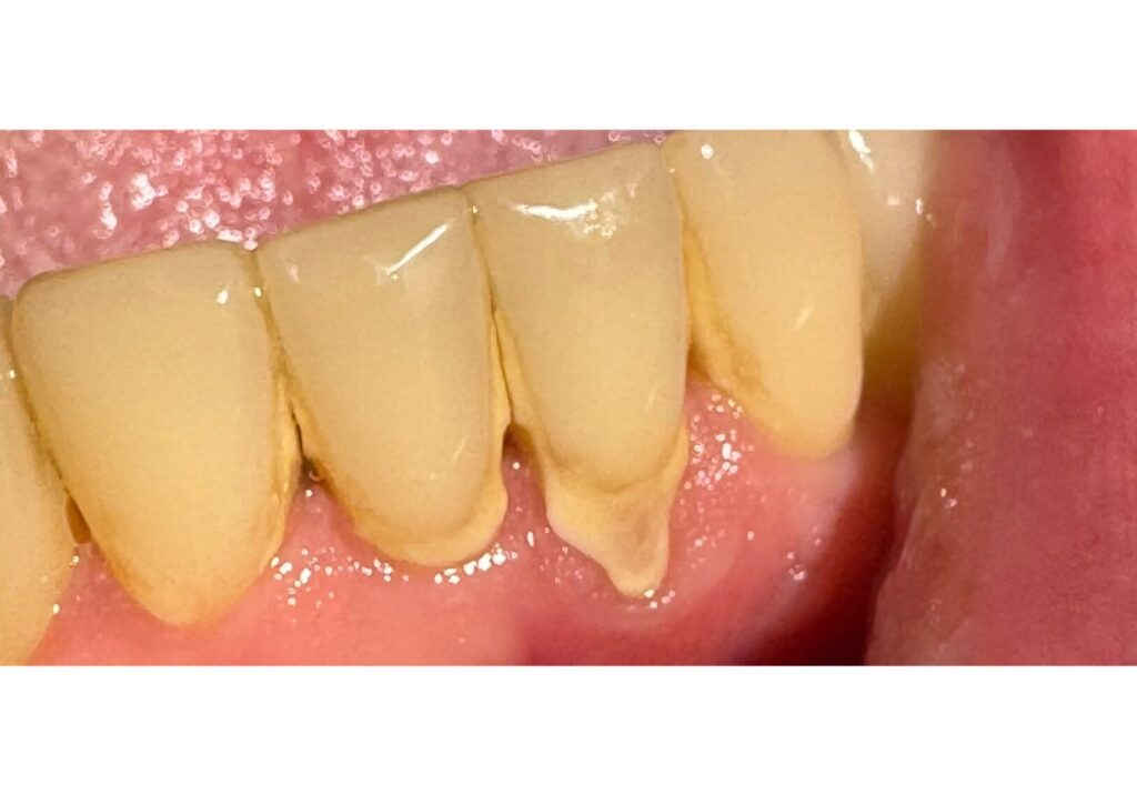
Prieš
Po

Gyd. Deimantė Jurgelevičiūtė

Profesionali burnos higiena.

Kovo 11-osios 49, Kaunas
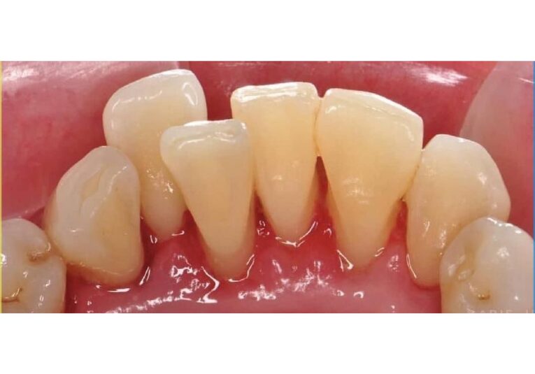
Prieš
Po

Gyd. Ieva Siegienė

Profesionali burnos higiena.

Gegužės g. 1/ Bokštų g. 18, Klaipėda
Prieš
Po

Gyd. Ieva Siegienė

Profesionali burnos higiena.

Gegužės g. 1/ Bokštų g. 18, Klaipėda