Dantų balinimas

Dantų balinimas atliekamas su efektyvia, itin mažą dantų jautrumą sukeliančia, apsaugančia paciento burną nuo nepageidaujamų spindulių, sistema. Ši dantų balinimo yra sistema pripažinta užsienyje, yra gavusi apdovanojimų už technologinę inovaciją. Tai ne tik inovatyvi sistema, tačiau ir jautrius dantis turintiems pacientams, diskomforto nekelianti procedūra.

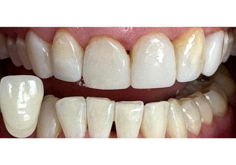
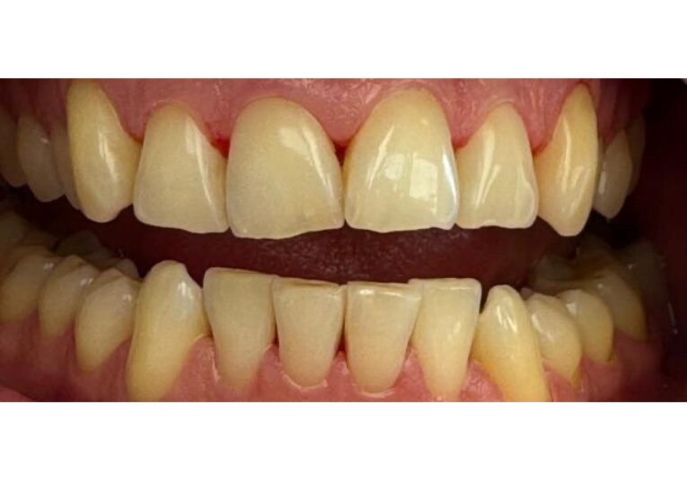
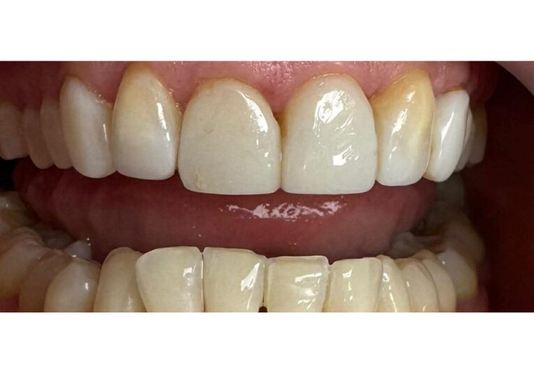
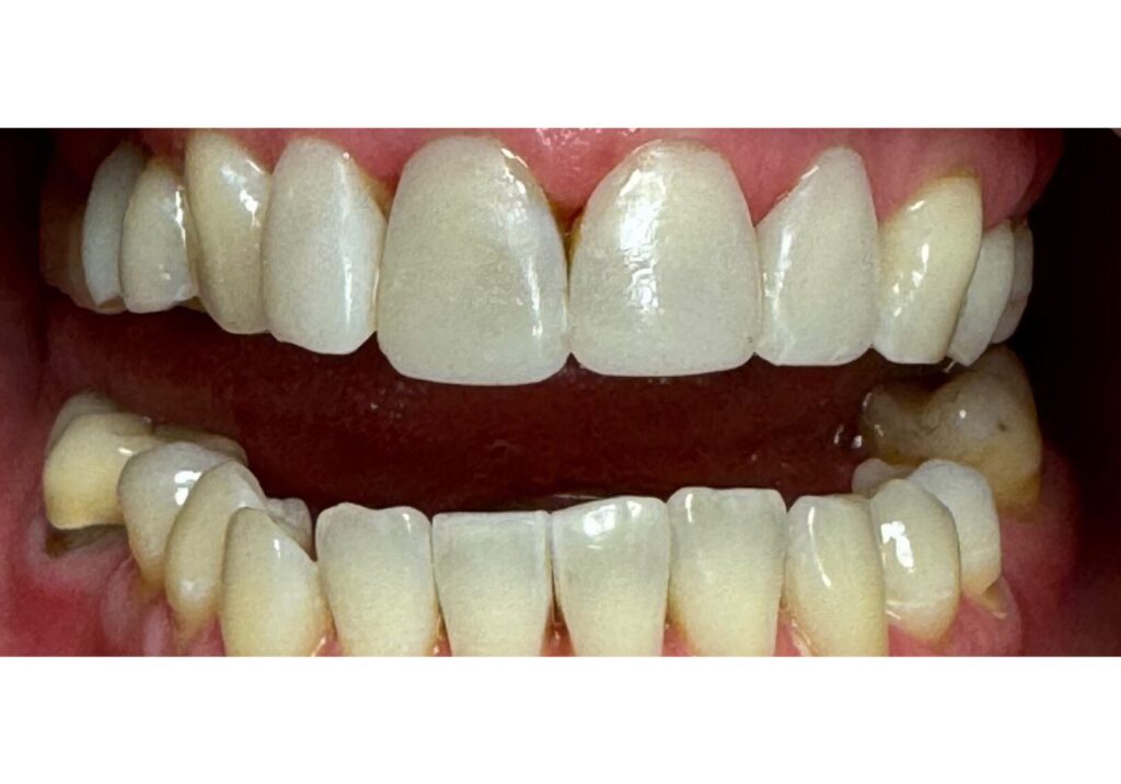
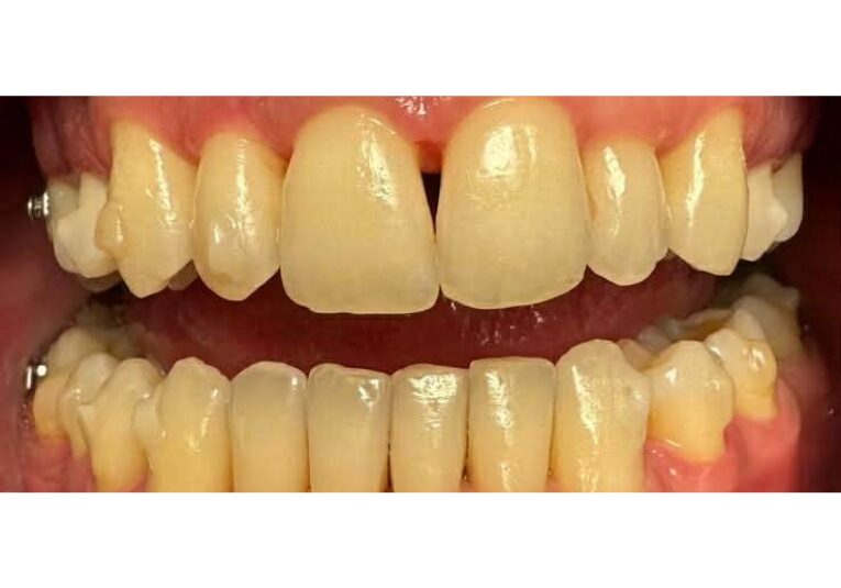
Prieš
Po

Gyd. Deimantė Jurgelevičiūtė

Dantų balinimas Beyond sistema.

Kovo 11-osios 49, Kaunas
250 Eur
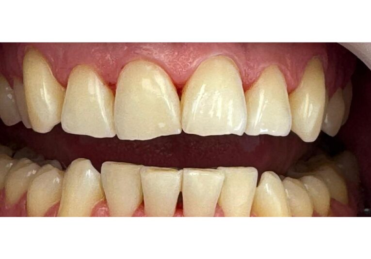
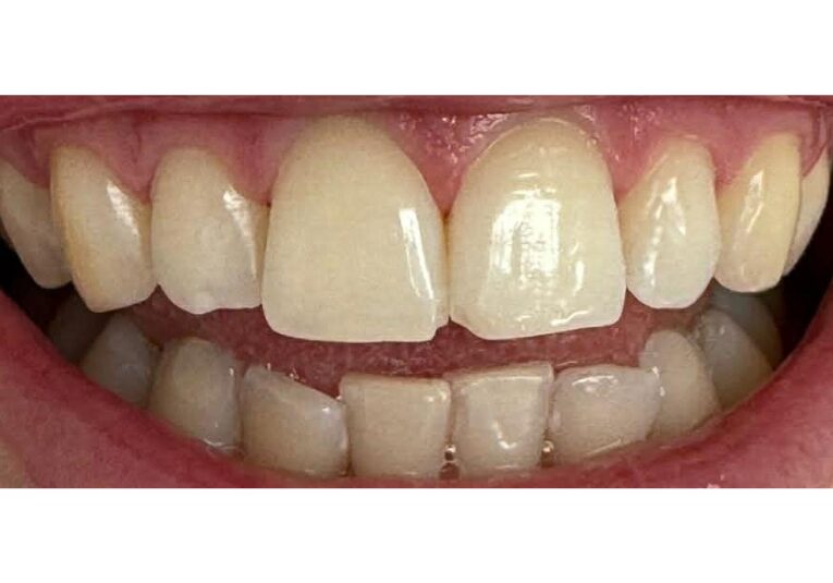
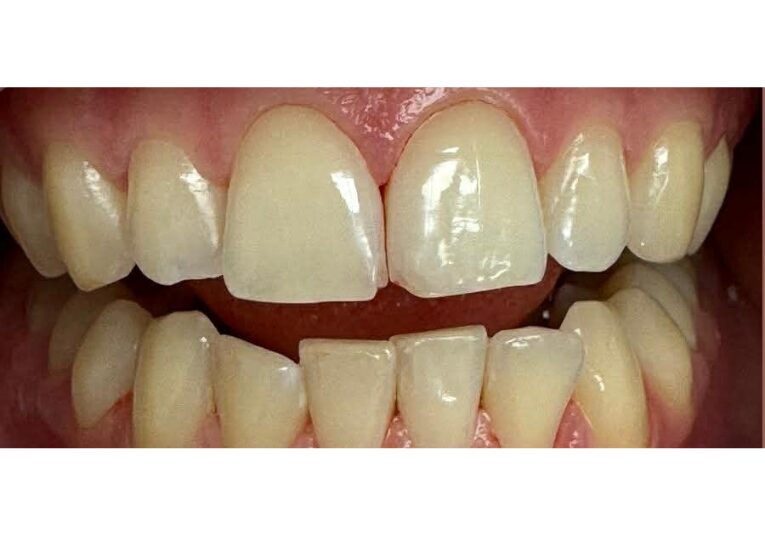
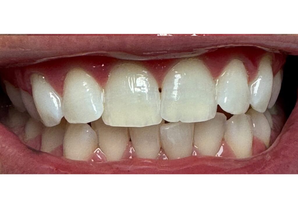
Prieš
Po

Gyd. Roberta Juozaitienė

Dantų balinimas Beyond sistema.

Kovo 11-osios 49, Kaunas
250 Eur
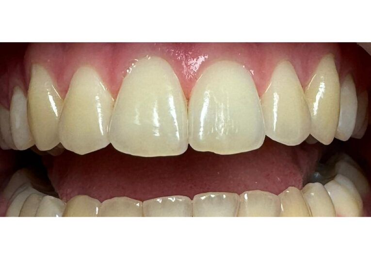
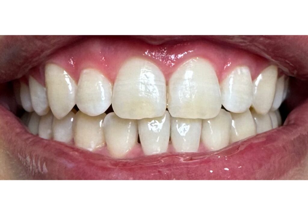
Prieš
Po

Gyd. Ieva Siegienė

Dantų balinimas Philips Zoom sistema.

Gegužės g. 1, Klaipėda
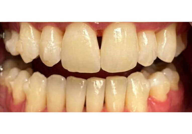
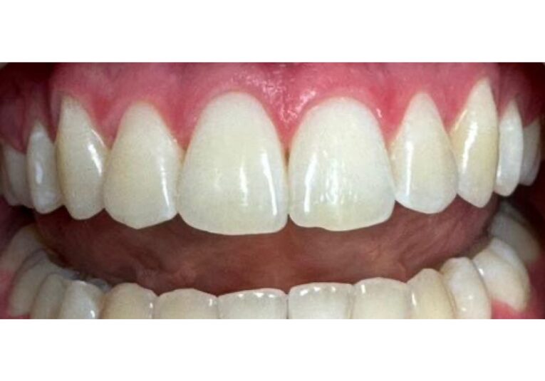
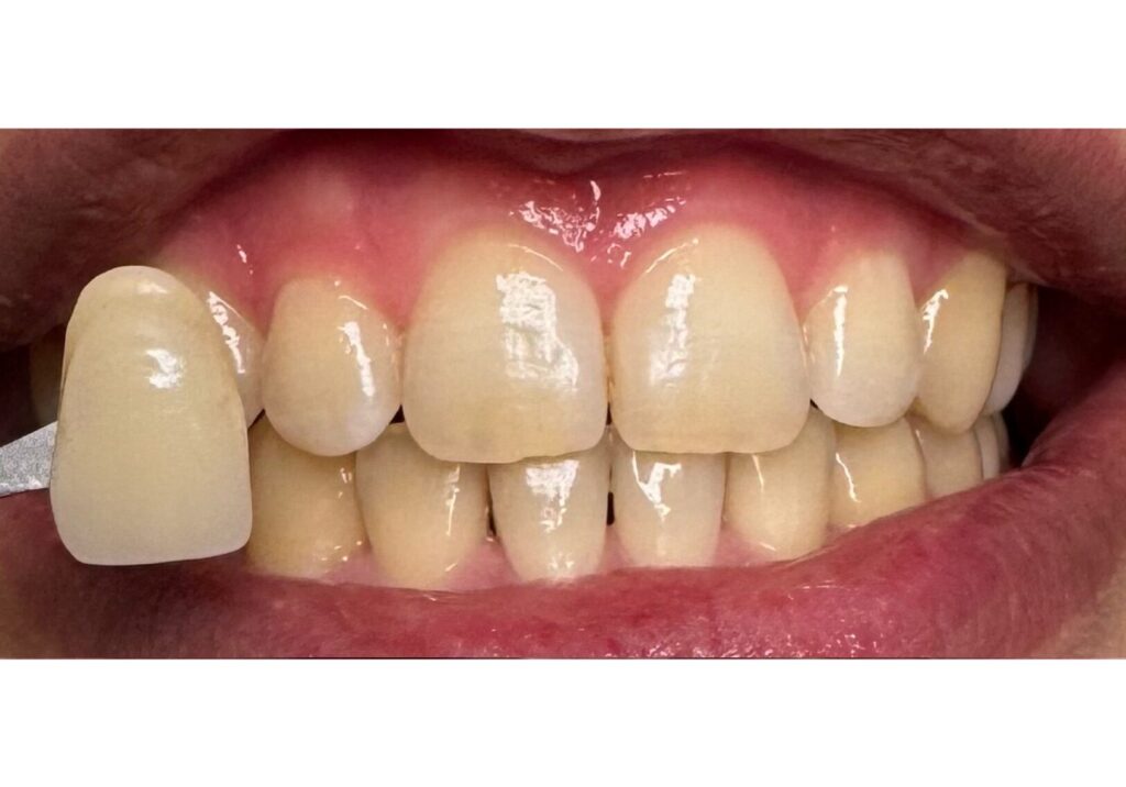
Prieš
Po

Gyd. Ieva Siegienė

Dantų balinimas Philips Zoom sistema.

Gegužės g. 1, Klaipėda
Prieš
Po

Gyd. Ieva Siegienė

Dantų balinimas Philips Zoom sistema.

Gegužės g. 1, Klaipėda
Prieš
Po

Gyd. Ieva Siegienė

Dantų balinimas Philips Zoom sistema.

Gegužės g. 1, Klaipėda
Prieš
Po

Gyd. Ieva Siegienė

Dantų balinimas Philips Zoom sistema.

Gegužės g. 1, Klaipėda
Prieš
Po

Gyd. Greta Gečaitė-Čemerkienė

Dantų balinimas Philips Zoom sistema.

Gegužės g. 1, Klaipėda
Prieš
Po

Gyd. Greta Gečaitė-Čemerkienė

Dantų balinimas Philips Zoom sistema.

Gegužės g. 1, Klaipėda
Prieš
Po

Gyd. Greta Gečaitė-Čemerkienė

Dantų balinimas Philips Zoom sistema.

Gegužės g. 1, Klaipėda
Prieš
Po

Gyd. Agnė Balandytė

Dantų balinimas Philips Zoom sistema.

Estų g. 1, Kalnėnai, Vilnius
Prieš
Po

Gyd. Agnė Balandytė

Dantų balinimas Philips Zoom sistema.

Estų g. 1, Kalnėnai, Vilnius
Prieš
Po

Gyd. Agnė Balandytė

Dantų balinimas Philips Zoom sistema.

Estų g. 1, Kalnėnai, Vilnius
Prieš
Po

Gyd. Kotryna Orenkaitė

Dantų balinimas.

Smėlio g. 20, Antakalnis, Vilnius
Prieš
Po

Gyd. Kotryna Orenkaitė

Dantų balinimas.

Smėlio g. 20, Antakalnis, Vilnius
Prieš
Po

Gyd. Kotryna Orenkaitė

Dantų balinimas.

Smėlio g. 20, Antakalnis, Vilnius
Prieš
Po

Gyd. Kotryna Orenkaitė

Dantų balinimas

Smėlio g. 20, Antakalnis, Vilnius
Prieš
Po

Gyd. Eglė Griškonė

Dantų balinimas Beyond sistema.

Kovo 11-osios 49, Kaunas
Prieš
Po

Gyd. Deimantė Jurgelevičiūtė

Dantų balinimas Beyond sistema.

Kovo 11-osios 49, Kaunas
Prieš
Po

Gyd. Deimantė Jurgelevičiūtė

Dantų balinimas Philips Zoom sistema.

Kovo 11-osios 49, Kaunas
Prieš
Po

Gyd. Deimantė Jurgelevičiūtė

Dantų balinimas Philips Zoom sistema.

Kovo 11-osios 49, Kaunas
Prieš
Po

Gyd. Ieva Siegienė

Dantų balinimas Philips Zoom sistema.

Gegužės g. 1, Klaipėda
Prieš
Po

Gyd. Ieva Siegienė

Dantų balinimas Philips Zoom sistema.

Gegužės g. 1, Klaipėda
Prieš
Po

Gyd. Ieva Siegienė

Dantų balinimas Philips Zoom sistema.

Gegužės g. 1, Klaipėda
Prieš
Po

Gyd. Ieva Siegienė

Dantų balinimas Philips Zoom sistema.

Gegužės g. 1, Klaipėda
Prieš
Po

Gyd. Ieva Siegienė

Dantų balinimas Philips Zoom sistema.

Gegužės g. 1, Klaipėda