Estetinis plombavimas

Kokios medžiagos naudojamos atliekant estetinį plombavimą? Šioms procedūroms naudojamos tik aukščiausios kokybės sertifikuotos medžiagos, kurios fizinėmis savybėmis – sukibimu su dantimi, tvirtumu ir kitomis savybėmis – prilygsta natūraliems dantims.

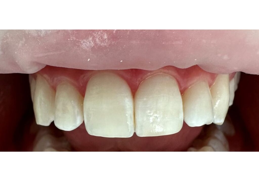
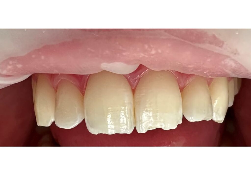
Prieš
Po

Gyd. Laura Rajeckienė

Pacientei atliktas 6 priekinių dantų estetinis plombavimas (gyd. odontologė Laura Rajeckienė), o galiniuose dantyse pakeltas sukandimas (gyd. odontologas Lukas Mingaila).

Gegužės g. 1, Klaipėda
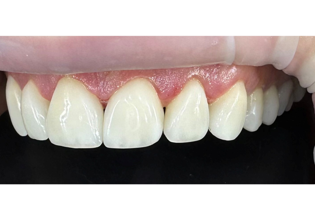
Prieš
Po

Gyd. Elena Grigelienė

Pacientei atliktas 13-23d. estetinis - funkcinis plombavimas. Atkurti kandamieji kraštai, ilčių išvedimo keliai, pakeistos senos nehermetiškos plombos.

Kovo 11-osios 49, Kaunas
856 Eur
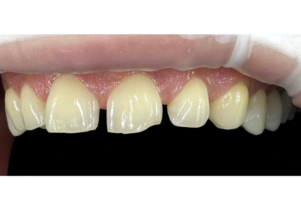
Prieš
Po

Gyd. Laura Rajeckienė

Apatinių kandžių atstatymas estetinio plombavimo būdu. Atliktas dešinės ilties protezavimas.

Gegužės g. 1, Klaipėda
Prisidėję gydytojai: Aušra Bieliauskienė
Prieš
Po

Gyd. Laura Rajeckienė

Pacientui atlikta kandžių formos korekcija ir tarpų uždarymas plombuojant.

Gegužės g. 1, Klaipėda
Prieš
Po

Gyd. Laura Rajeckienė

Pacientui atlikta kandžių formos korekcija.

Gegužės g. 1, Klaipėda
Prieš
Po

Gyd. Laura Rajeckienė

Po ortodontinio gydymo buvo atliktas:
-tarpų uždarymas
-kandamųjų kraštų korekcija

Gegužės g. 1, Klaipėda
Prieš
Po

Gyd. Rolanda Dzedulionienė

Atliktas 3 priekinių, nusidėvėjusių, dantų atstatymas. Procedūros atliktos be gręžimo.

Smėlio g. 20, Antakalnis, Vilnius
Prieš
Po

Gyd. Rolanda Dzedulionienė

Atliktas 6 viršutinio žandikaulio, nusidėvėjusių, dantų atstatymas. Procedūros atliktos be gręžimo.

Smėlio g. 20, Antakalnis, Vilnius
Prieš
Po

Gyd. Rolanda Dzedulionienė

Atliktas 10, nusidėvėjusių, apatinio žandikaulio, dantų atstatymas. Procedūros atliktos be gręžimo.

Smėlio g. 20, Antakalnis, Vilnius
Prieš
Po

Gyd. Rolanda Dzedulionienė

Atliktas 6, nusidėvėjusių, viršutinio žandikaulio, dantų atstatymas. Procedūros atliktos be gręžimo.

Smėlio g. 20, Antakalnis, Vilnius
Prieš
Po

Gyd. Rolanda Dzedulionienė

Atliktas 6 viršutinio ir 6 apatinio žandikaulių, nusidėvėjusių, dantų atstatymas kompozitu. Procedūros atliktos be gręžimo. Atstatyta ir dantų funkcija.

Smėlio g. 20, Antakalnis, Vilnius
Prieš
Po

Gyd. Rolanda Dzedulionienė

Atliktas 6 priekinių, viršutinio žandikaulio, nusidėvėjusių, dantų atstatymas. Procedūros atliktos be gręžimo. Atstatyta ir dantų funkcija.

Smėlio g. 20, Antakalnis, Vilnius
Prieš
Po

Gyd. Rolanda Dzedulionienė

Atliktas 6 priekinių, viršutinio žandikaulio, nusidėvėjusių, dantų atstatymas. Procedūros atliktos be gręžimo. Atstatyta ir dantų funkcija.

Smėlio g. 20, Antakalnis, Vilnius
Prieš
Po

Gyd. Rolanda Dzedulionienė

Atliktas 6 priekinių, viršutinio žandikaulio, nusidėvėjusių, dantų atstatymas. Atstatyta ir dantų funkcija. Gręžiant pašalintos tik senos plombos ir karioziniai audiniai.

Smėlio g. 20, Antakalnis, Vilnius
Prieš
Po

Gyd. Rolanda Dzedulionienė

Atliktas 28 nusidėvėjusių, dantų atstatymas. Atstatyta ir dantų funkcija, anatominis dantų aukščio atstatymas kompozitu. Procedūros atliktos be gręžimo.

Smėlio g. 20, Antakalnis, Vilnius
Prieš
Po

Gyd. Rolanda Dzedulionienė

Atliktas 8 nusidėvėjusių, dantų atstatymas. Atstatyta ir dantų funkcija, anatominis dantų aukščio atstatymas. Procedūros atliktos be gręžimo.

Smėlio g. 20, Antakalnis, Vilnius
Prieš
Po

Gyd. Rolanda Dzedulionienė

Atliktas 6 nusidėvėjusių, apatinio žandikaulio, dantų atstatymas. Atstatyta ir dantų funkcija, anatominis dantų aukščio atstatymas. Procedūros atliktos be gręžimo.

Smėlio g. 20, Antakalnis, Vilnius
Prieš
Po

Gyd. Rolanda Dzedulionienė

Atliktas 8 nusidėvėjusių, apatinio žandikaulio, dantų atstatymas. Atstatyta ir dantų funkcija. Procedūros atliktos beveik be gręžimo.

Smėlio g. 20, Antakalnis, Vilnius
Prieš
Po

Gyd. Rolanda Dzedulionienė

Atliktas 8 nusidėvėjusių, dantų atstatymas po ortodontinio gydymo. Atstatyta ir dantų funkcija.

Smėlio g. 20, Antakalnis, Vilnius
Prieš
Po

Gyd. Rolanda Dzedulionienė

Anatominis dantų aukščio atstatymas prieš protezavimą, atliktas 11 dantų. Atlikta be gręžimo.

Smėlio g. 20, Antakalnis, Vilnius
Prieš
Po

Gyd. Rolanda Dzedulionienė

Anatominis dantų aukščio atsatymas.

Smėlio g. 20, Antakalnis, Vilnius
Prieš
Po

Gyd. Rolanda Dzedulionienė

Anatominis dantų aukščio atstatymas prieš protezavimą, atliktas 5 dantims prieš perprotezuojant.

Smėlio g. 20, Antakalnis, Vilnius
Prieš
Po

Gyd. Rolanda Dzedulionienė

Anatominis dantų aukščio atstatymas prieš protezavimą, atliktas 17 dantų. Atlikta be gręžimo.

Smėlio g. 20, Antakalnis, Vilnius
Prieš
Po

Gyd. Rolanda Dzedulionienė

Anatominis dantų aukščio atstatymas prieš protezavimą, atliktas 20 dantų, grąžintos dantų funkcijos. Taip pat atsatyti nudėvėti dantys.

Smėlio g. 20, Antakalnis, Vilnius
Prieš
Po

Gyd. Rolanda Dzedulionienė

Estetinė restauracija, restauruojant apatinio žandikaulio, 6 priekinius dantis.

Smėlio g. 20, Antakalnis, Vilnius
Prieš
Po

Gyd. Rolanda Dzedulionienė

Estetinė restauracija, restauruojant viršutinio žandikaulio, 6 priekinius dantis.

Smėlio g. 20, Antakalnis, Vilnius
Prieš
Po

Gyd. Rolanda Dzedulionienė

Estetinė restauracija, restauruojant apatinio žandikaulio 8 dantis dantų lauke ir atstantant jų anatominį aukštį.

Smėlio g. 20, Antakalnis, Vilnius
Prieš
Po

Gyd. Rolanda Dzedulionienė

Estetinė restauracija, atstatyta 10 dantų funkcija ir ištiesinti dantys.

Smėlio g. 20, Antakalnis, Vilnius
Prieš
Po

Gyd. Rolanda Dzedulionienė

Estetinė restauracija, restauruojant viršutinio žandikaulio, 6 dantis.

Smėlio g. 20, Antakalnis, Vilnius
Prieš
Po

Gyd. Rolanda Dzedulionienė

Estetinė restauracija, restauruojant 6 viršutinio ir apatinio žandikaulių dantis dantų lauke.

Smėlio g. 20, Antakalnis, Vilnius
Prieš
Po

Gyd. Rolanda Dzedulionienė

Estetinė restauracija, 6 viršutinio žandikaulio priekinių dantų atstatymas be gręžimo.

Smėlio g. 20, Antakalnis, Vilnius
Prieš
Po

Gyd. Rolanda Dzedulionienė

Estetinė restauracija, restautuoti 6 apatinio žandikaulio dantys, dengiant ne visą paviršių.

Smėlio g. 20, Antakalnis, Vilnius
Prieš
Po

Gyd. Rolanda Dzedulionienė

Estetinė restauracija, 17 dantų atstatymas viršutiniame ir apatiniame žandikauliuose.

Smėlio g. 20, Antakalnis, Vilnius
Prieš
Po

Gyd. Rolanda Dzedulionienė

Estetinė restauracija, 6 viršutiniai dantys suformuoti dalinai dengiant paviršių, keičiant senas plombas, tiesinant dantų lanką.

Smėlio g. 20, Antakalnis, Vilnius
Prieš
Po

Gyd. Rolanda Dzedulionienė

Estetinė restauracija. Restauruoti 20 dantų, atstatant jų anatominį aukštį ir dengiant dantų paviršių minimaliai gręžiant.

Smėlio g. 20, Antakalnis, Vilnius
Prieš
Po

Gyd. Rolanda Dzedulionienė

Estetinė restauracija, restauruoti 6 priekiniai dantys, pašalinti karioziniai pažeidimai, atstatytas dantų anatominis aukštis ir funkcijos.

Smėlio g. 20, Antakalnis, Vilnius
Prieš
Po

Gyd. Rolanda Dzedulionienė

Estetinė dantų restauracija 6 priekiniams dantims. Gręžiant pašalinti tik korioziniai pažeidimai. Dengiant priekyje, atstatytas anatominis dantų aukštis ir dantų funkcijos.

Smėlio g. 20, Antakalnis, Vilnius
Prieš
Po

Gyd. Rolanda Dzedulionienė

Estetinė dantų restauracija 6 priekiniams dantims. Uždaryti tarpai, pakeistos senos plombos ir pašalinti karioziniai pažeidimai.

Smėlio g. 20, Antakalnis, Vilnius
Prieš
Po

Gyd. Rolanda Dzedulionienė

Atlikta estetinė dantų restauracija. Restauruoti 6 priekiniai dantys, pakeistos senos plombos ir sutvarkyti karioziniai pažeidimai. Atstatytas anatomonis dantų aukštis ir atkurta dantų funkcija.

Smėlio g. 20, Antakalnis, Vilnius
Prieš
Po

Gyd. Dora Bacevičė

Atlikta estetinė dantų restauracija.

Estų g. 1, Kalnėnai, Vilnius
Prieš
Po

Gyd. Dora Bacevičė

Atlikta estetinė dantų restauracija.

Estų g. 1, Kalnėnai, Vilnius