Dantų protezavimas

Netekus danties ar kelių dantų protezus galite rinktis pagal asmeninius poreikius. Tai ilgaamžiškos, iš draugiškų žmogaus organizmui medžiagų pagamintos, restauracijos. Šis dantų atstatymas leidžia atkurti ne tik pilnavertišką kramtymo ir sąkandžio funkciją, tačiau ir estetinį vaizdą.

Prieš
Po

Gyd. Aušra Bieliauskienė

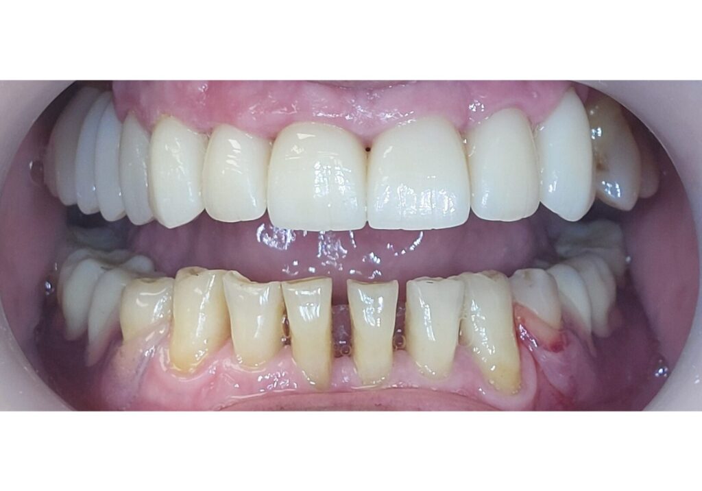
Pacientei atlikta:
✅profesionali burnos higiena
✅ortodontinis gydymas
✅periodontologinis gydymas
✅endodontinis gydymas
✅estetinis plombavimas
✅protezavimas pilno kontūro cirkonio oksido tiltais ir vainikėliais.

Smėlio g. 20, Antakalnis, Vilnius
6200 Eur
Prieš
Po

Gyd. Aušra Bieliauskienė

Pacientui (-ei) danties kultis atstatyta stiklo pluošto kaiščiais bei derviniu cementu. Dantų technikos laboratorijoje D LABS pagamintas EMAX sluoksniuotos keramikos vainikėlis, kuriuo buvo suprotezuotas dantis. Pasitelkiant protezavimą, pacientui atkurta kramtymo funkcija ir estetinis vaizdas.

Smėlio g. 20, Antakalnis, Vilnius
538 Eur
Prieš
Po

Gyd. Aušra Bieliauskienė

Netekto danties atstatymas bemetalės keramikos frezuotų dantų tiltu. Pacientė kreipėsi dėl prarasto 26 v.ž. danties. Sudarius gydymo planą, pacientė pasirinko danties atstatymą bemetalės keramikos frezuotų dantų tiltu, nesriegiant implanto.

Smėlio g. 20, Antakalnis, Vilnius
~ 1263 eur
Prieš
Po

Gyd. Aušra Bieliauskienė

Dantų protezavimas cirkonio oksido keramikos tiltu. Į kliniką kreipėsi pacientė dėl viršutinio žandikaulio priekinių dantų tarpdančio ir prasto estetinio vaizdo. Iki protezavimo pacientei atliktas periodonto gydymas bei endodontinis 11,21 dantų šaknų gydymas. Šypsena atstatyta cirkonio oksido keramikos vainikėlių tiltu.

Smėlio g. 20, Antakalnis, Vilnius
~ 2480 eur
Prisidėję gydytojai: Jūratė Lybaitė
Prieš
Po

Gyd. Aušra Bieliauskienė

Dantų protezavimas atkuriant estetinį vaizdą. Kreipėsi 51-ių moteris dėl blogos estetikos ir netenkinančio vaizdo veidrodyje besišypsant ir dėl to susijusių išgyvenimų. Pagaminti diagnostiniai modeliai, atliktas laboratorijoje būsimų restauracijų pavaškavimas ir modeliavimas, pacientei vizualizuoti būsimų restauracijų vaizdas ir svarba. Dideli priekinių dantų vainikinių dalių pažeidimai, defektai, netaisyklinga eilės dantų padėtis ir trūkstamų krūminių dantų fragmentai atkurti laikinų, o vėliau MK (Cr-Co) pagrindu vainikėlių ir tiltų pagalba, prieš tai atlikus eilės dantų šaknų gydymą ir periodontologinę burnos ertmės sanaciją. Pagaminta raumenis atpalaiduojanti viršutinio žandikaulio kapa nakčiai restauracijų kokybei ir ilgaamžiškumui užtikrinti.

Smėlio g. 20, Antakalnis, Vilnius
~ 2950 eur
Prisidėję gydytojai: Jūratė Lybaitė
Prieš
Po

Gyd. Aušra Bieliauskienė

Laikino 21 danties vainikėlio, suformuoto gydytojo kabinete, pakeistas bemetalės keramikos vainikėliu. Pacientas kreipėsi dėl netenkinančio viršutinio žandikaulio priekinių dantų estetinio vaizdo. Buvo atliktas danties endodontinis pergydymas. Atstatytas stiklo pluošto kaiščiu ir protezuotas bemetalės keramikos vainikėliu. Papildomai atliktas 12,11 ir 22 dantų estetinis plombavimas.

Smėlio g. 20, Antakalnis, Vilnius
~ 900 eur
Prisidėję gydytojai: Jūratė Lybaitė, Greta Ardaravičienė
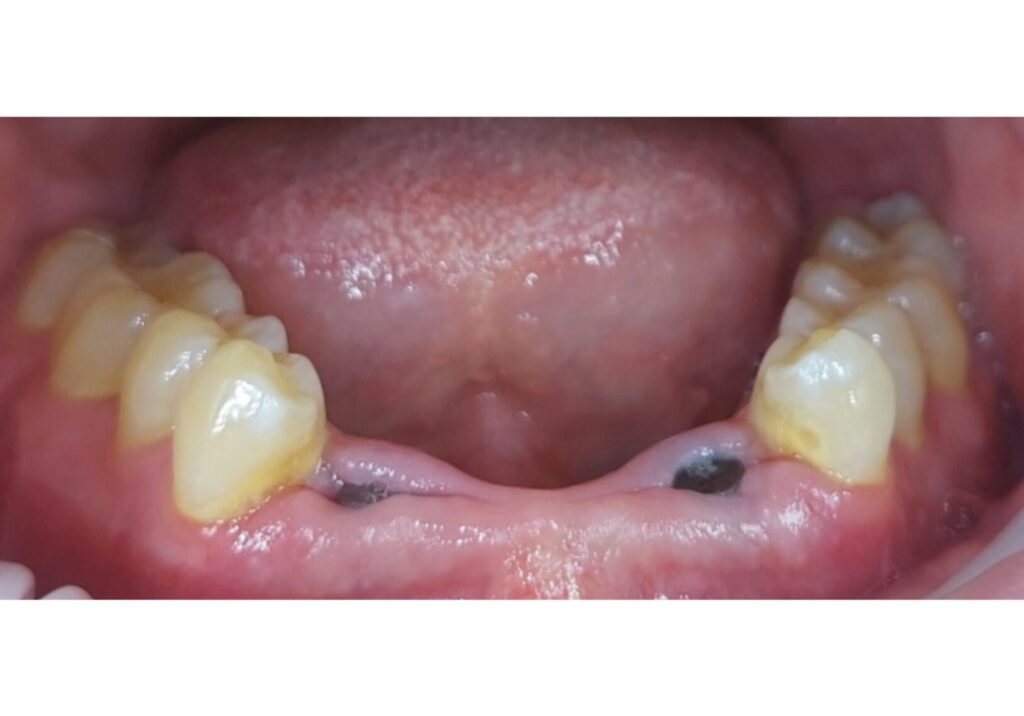
Prieš
Po

Gyd. Aušra Bieliauskienė

Apatinio žandikaulio dalinė išimama plokštelė ir viršutinio žandikaulio 6 priekinių dantų ZrO tiltas. Pacientė kreipėsi dėl sužemėjusio sąkandžio a/ž ir išretėjusių v/ž priekinių dantų. Protezuoti apatinio žandikaulio krūminiai dantys išimama plokštele. Viršutinio žandikaulio dantys atstatyti ZrO tiltu. Nudilę apatinio žandikaulio dantys atstatyti estetiniu plombavimu.

Laisvės pr. 10A, Vilnius
~ 2950 eur
Prisidėję gydytojai: Greta Ardaravičienė
Prieš
Po

Gyd. Aušra Bieliauskienė

Abiejų žandikaulių protezavimas išimamomis plokštelėmis. Apatinio žandikaulio plokštelė - fiksuota ant lokatorių. Į kliniką kreipėsi pacientė, kuriai buvo pagamintos viršutinio ir apatinio žandikaulio pilnos išimamos plokštelės. Implantologas įsriegė 2 vnt implantų į apatinį žandikaulį apatinės plokštelės fiksacijai lokatorių sistema.

Laisvės pr. 10A, Vilnius
~ 2500 eur
Prisidėję gydytojai: Aleksandras Gordevičius
Prieš
Po

Gyd. Ingrida Lapėnaitė-Krasnickė

37 d. Atstatytas su Emax užklotu.

Kovo 11-osios 49, Kaunas
~ 400 eur
Prieš
Po

Gyd. Ingrida Lapėnaitė-Krasnickė

Paciento netenkino ėduonies pažeisti priekiniai dantys. Visi dantys išsaugoti gyvi, pašalintas tik infekuotas audinys, užapvalinti aštrūs kraštai. Dantys atkurti E-max laminatėmis.

Kovo 11-osios 49, Kaunas
~ 3000 eur
Prieš
Po

Gyd. Ingrida Lapėnaitė-Krasnickė

Dantys atkurti keramikinėmis konstrukcijomis, gamintomis ant ugniai atsparaus modelio. Priekiniai dantys atstatyti sluoksniuotos keramikos laminatėmis. Visi paciento dantys išsaugoti gyvi.

Kovo 11-osios 49, Kaunas
~ 6000 eur
Prieš
Po

Gyd. Ingrida Lapėnaitė-Krasnickė

Pacientė buvo nepatenkinta endodontiškai sugydyto 22 d. Išvaizda. Dantis atkurtas Cirkonio oksido vainikėliu.

Kovo 11-osios 49, Kaunas
~ 400 eur
Prisidėję gydytojai: Birutė Abromavičienė
Prieš
Po

Gyd. Ingrida Lapėnaitė-Krasnickė

Pacientės netenkino priekinių dantų spalva ir forma. Dantys suprotezuoti E-max vainikėliais koreguojant formą ir spalvą.

Kovo 11-osios 49, Kaunas
~ 800 eur
Prieš
Po

Gyd. Ingrida Lapėnaitė-Krasnickė

Sąkandžio pakėlimas ir visų viršutinio žandikaulio dantų protezavimas bemetalėmis konstrukcijomis. Pakeltas sąkandžio aukštis, dantys atkurti laminatėmis ir užklotais.

Kovo 11-osios 49, Kaunas
~ 5500 eur
Prieš
Po

Gyd. Lukas Mingaila

Bedančio viršutinio žandikaulio atkūrimas su 4 implantais.

Gegužės g. 1, Klaipėda
Prieš
Po

Gyd. Lukas Mingaila

Apatinių priekinių dantų atkūrimas implantais po traumos. Implantavo gyd. Osvaldas Norinkevičius.

Gegužės g. 1, Klaipėda
Prisidėję gydytojai: Osvaldas Norinkevičius
Prieš
Po

Gyd. Lukas Mingaila

Atkurti viršutiniai dantys cirkonio vainikėliais, išsaugant dantis,

Gegužės g. 1, Klaipėda